Del Rey Dental
Del Rey Dental
@del-rey-dental

How Wisdom Teeth Extraction Can Prevent Serious Dental Issues

user image 2026-03-25
By: Del Rey Dental
Posted in: Dental Clinic
How Wisdom Teeth Extraction Can Prevent Serious Dental Issues

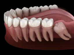
Wisdom teeth, also known as third molars, are the last set of teeth to develop, typically emerging in the late teens or early twenties. While some people experience no issues, many individuals face complications due to a lack of space in the jaw. When wisdom teeth grow improperly or become impacted, they can lead to a range of oral health problems. Consulting a trusted dentist in Playa Del Rey can help you determine whether wisdom teeth extractions are necessary to protect your long-term dental health.

Why Wisdom Teeth Often Cause Problems

Unlike other teeth, wisdom teeth frequently don’t have enough room to emerge properly. This can cause them to grow at awkward angles, remain trapped beneath the gums, or only partially erupt. These conditions create an environment where bacteria can thrive, increasing the risk of infection and other complications.

A skilled dentist can evaluate your oral condition through exams and imaging, identifying potential risks before they turn into serious issues.

Preventing Pain and Infection

One of the most common reasons for wisdom teeth removal is to prevent pain and infection. Impacted or partially erupted wisdom teeth can trap food particles and bacteria, leading to gum infections, swelling, and discomfort.

By opting for wisdom teeth extractions in Playa Del Rey, patients can avoid recurring pain and reduce the risk of infections that may spread to surrounding tissues. Early removal often prevents more complicated and painful situations later on.

Protecting Surrounding Teeth

Wisdom teeth can put pressure on neighboring teeth as they attempt to emerge. This pressure can cause shifting, crowding, and even damage to adjacent teeth. In some cases, it may undo years of orthodontic treatment.

A knowledgeable dentist in Playa Del Rey may recommend extraction to preserve the alignment of your existing teeth. Choosing wisdom teeth extractions helps maintain a straight, healthy smile and prevents unnecessary dental corrections in the future.

Reducing the Risk of Gum Disease

Partially erupted wisdom teeth create pockets where bacteria can accumulate, making it difficult to clean the area properly. This can lead to gum inflammation, also known as pericoronitis, and increase the risk of periodontal disease.

Removing problematic wisdom teeth can significantly lower the chances of developing gum disease. With guidance from a trusted dentist in Playa Del Rey, you can take proactive steps to protect your gums and overall oral health.

Preventing Tooth Decay

Wisdom teeth are located at the back of the mouth, making them hard to reach with a toothbrush or floss. As a result, they are more susceptible to cavities and decay. If left untreated, decay can spread to nearby teeth, causing more extensive damage.

Choosing wisdom teeth extractions in Playa Del Rey can eliminate this risk altogether. Your dentist will help you decide whether removal is the right option to prevent long-term complications.

Avoiding Cysts and Jaw Damage

In some cases, impacted wisdom teeth can lead to the formation of cysts or fluid-filled sacs around the tooth. These cysts can damage the jawbone, nerves, and surrounding teeth if not treated promptly.

Early evaluation and extraction by an experienced dentist in Playa Del Rey can prevent these serious complications. Addressing the issue before it progresses helps preserve the structure and health of your jaw.

A Simple Procedure with Lasting Benefits

Wisdom teeth extraction is a routine dental procedure that is typically completed with minimal discomfort. With modern techniques and sedation options, patients can undergo the process safely and comfortably.

Recovery is generally straightforward, and most patients return to normal activities within a few days. By choosing wisdom teeth extractions in Playa Del Rey, you’re investing in long-term oral health and avoiding more complex treatments down the road.

Conclusion

Wisdom teeth may seem harmless, but they can lead to significant dental problems if not properly managed. From infections and tooth crowding to gum disease and jaw damage, the risks are real, but preventable.

If you’re experiencing discomfort or have been advised to monitor your wisdom teeth, don’t wait for complications to arise. Schedule a consultation with a trusted dentist in Playa Del Rey today to learn whether wisdom teeth extractions are right for you. Taking action now can help you maintain a healthy, pain-free smile for years to come.

No comments yet. Be the first.